

首例独立完成——机器人辅助骨盆骨折闭合复位微创内固定手术
2023年4月25日,我院骨科团队在解放军总医院陈华教授指导下,首次成功开展了HoloSight骨科手术机器人结合骨盆解锁复位架(UCRT)辅助下骨盆骨折闭合复位内固定术。时隔一个月,5月25日,我院骨科团队经过精心准备、周密策划,独立完成了首例机器人辅助骨盆骨折闭合复位微创内固定手术,标志着我院骨科诊疗技术取得了又一突破性进展。
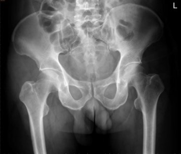
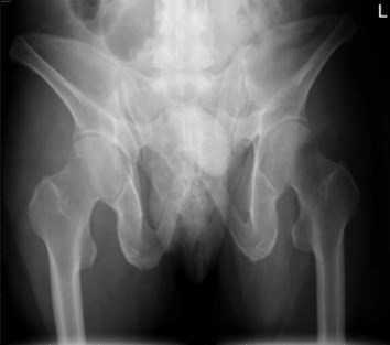
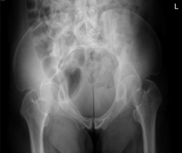
病历资料:该患者为中年男性,因车祸伤致骨盆骨折合并髋外侧及后侧大面积Morel-Lavallee 损伤。
术前影像


术前,骨科党支部书记、骨科三病区主任岳晓东主任带领医师团队进行手术模拟演示,力求每一个细节都尽善尽美。

术中,岳晓东主任依托HoloSight平台规划的置钉路线,精准的为患者进行骶髂关节螺钉固定。



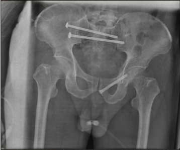
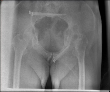
术后影像


经过术中、术后影像学检查确认,骨折复位良好,内固定位置满意。手术仅留下几个1-2厘米左右的小切口,术中出血约100ml,术后48小时患者即可在床上自主活动,现恢复良好。
目前,机器人手术已成为微创技术较高阶段的代表,此次机器人手术技术的引入和独立开展,既体现了我院对疾病治疗精确微创化的不懈追求,同时也为骨科患者带来了福音,更是我院骨科党支部在院党委的坚强领导下,将党建与业务相融合、党建引领业务发展,党建全面创A的具体实践。我院骨科医师团队将继续瞄准医疗技术前沿,以团结勤勉、求实进取的优良作风,奋发有为,加倍努力,力争在学科发展建设中取得更多新的突破。
知识链接:
HoloSight骨科手术机器人,是利用混合现实结合高精度光学定位追踪技术的智能可视化系统,通过三维可视化实时复位及固定骨折,全程监视骨盆骨折复位过程,精准完成微创内固定术。在医生与机器人共同协作下,医生只需要切几个微小的切口,显著降低了患者的出血量和接受辐射的剂量。同时手术机器人的应用,不仅提升了手术的流畅性,也有效提升了手术的安全性、可预测性和精确度,有助于实现病患早期快速康复和长期的良好手术效果,减少了患者住院时间和并发症的发生。
注:手术机器人并不是替代医生进行手术,而是在手术过程中,将医生制定的手术方案准确无误地进行实时传递,辅助医生更好地完成手术,确保操作安全可靠,是医生手术过程中的“得力助手”。
2023、6、1